Somos una clínica odontológica estética en Viña del Mar, cerca de Reñaca y Concón, atendida por dentistas especializados en estética y rehabilitación dental.

Nuestra clínica integra odontología digital con un enfoque humano y personalizado.
Gracias al uso de escáneres 3D y diseño digital, logramos tratamientos más precisos, cómodos y predecibles.
Descubre cómo podemos transformar tu sonrisa con tecnología digital y especialistas en estética y rehabilitación oral.
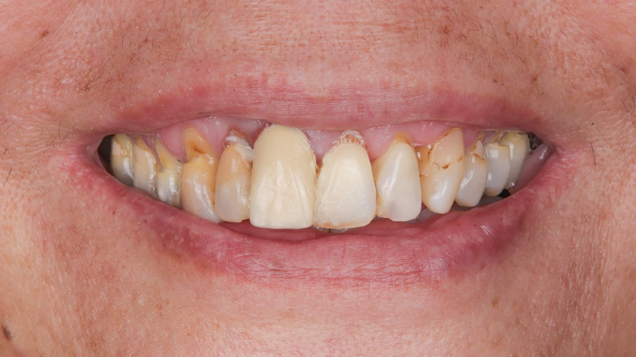
El diseño de sonrisa puede integrar distintos procedimientos según tus necesidades. Estos son los más frecuentes:
Conversamos sobre tu objetivo estético y funcional. Revisamos antecedentes y tomamos fotografías clínicas.
Escaneo intraoral/impresiones y radiografías si se requieren.
Proyectamos forma y proporciones ideales en software, considerando tu rostro y encía.
Visualización y, si aplica, prueba en boca para que veas el antes y después propuesto.
Puede incluir carillas de porcelana (cerámica), carillas de resina, coronas, contorneado, blanqueamiento y/o ortodoncia invisible.
Indicaciones personalizadas (higiene, férula si bruxas) y controles periódicos.


El tiempo varía según el plan. Casos con carillas de resina pueden resolverse en 1–2 sesiones; con porcelana suele requerir 2–4 semanas por laboratorio.
La porcelana ofrece mejor estabilidad de color y mayor longevidad; la resina es más accesible y reparable. Tu especialista te orientará según tus objetivos y hábitos.
La resina suele ser mínimamente invasiva. La porcelana puede requerir un desgaste selectivo. Lo conversaremos antes de decidir.
Se trabaja con anestesia local cuando corresponde. La mayoría de los pacientes refiere molestias leves y transitorias.
Sí: controles periódicos, higiene rigurosa, evitar morder objetos duros y, si bruxas, usar férula nocturna.
Integramos el plan con implantología, rehabilitación u ortodoncia invisible para asegurar función y estética a largo plazo.
Sí. Con el mockup digital (y, si aplica, prueba en boca) ves la propuesta antes de iniciar.
El tabaquismo aumenta el riesgo de fracaso e infecciones (periimplantitis). Recomendamos suspender o reducir el consumo antes y después de la cirugía y seguir controles estrictos.
Con flujo CAD-CAM, seleccionamos forma y color para lograr una estética natural y una mordida estable. La adaptación mejora con los ajustes y controles iniciales.
Somos una clínica centrada en la Odontología Digital, nuestra misión es entregar un servicio de salud oral de primer nivel. Atendemos pacientes de Viña del Mar, Reñaca, Concón, Puchuncaví, Quintero, Quilpué y Valparaíso, ofreciendo odontología estética de alto nivel y tecnología digital.
© 2025 Clínica Roi. Diseñado por parraguirre.diseño